ムチウチ(頚椎捻挫・腰椎捻挫)
1 ムチウチについて
頚椎捻挫、腰椎捻挫のいわゆるムチウチは、交通事故で最も多く生じる怪我であり、一般の方にとっては1番身近な怪我といえます。そして、ムチウチでは痛みやしびれの症状が後遺症として残ることも多く、症状の重たい方は後遺障害等級の認定を受けることを見据えて対応する必要があります。ムチウチで、14級の認定を受けることができた場合には、200万円ほど補償額がプラスされます。また、12級の認定を受けることができれば14級の3倍ほどの補償を受けることができます。
2 ムチウチの特徴・注意点
- ムチウチでも等級が獲得できること
- 後遺症に強い弁護士に依頼する必要があること
- ムチウチこそ事故直後の早めの相談が必要なこと
- ムチウチで重症の方は12級の獲得を目標にすべきこと
⑴ ムチウチでも等級が獲得できること
頚椎捻挫、腰椎捻挫のいわゆるムチウチは骨折等に比較すると軽傷であることから等級の認定を受けることができないと考えている方も多いです。
しかし、早めに対応し、しっかりと後遺症の証明のための準備をすれば、ムチウチでも等級の認定を受けることができます。
当事務所では、後遺症サポートをしっかり行うことで、ムチウチで当たり前のように等級を獲得しています。
そして、後遺症の申請の手続きを保険会社に任せてはならず、専門の弁護士に依頼して被害者請求の手続きをとる必要があります(※)。
※後遺症の申請の手続きは、①被害者自身が行う被害者請求(実際は専門の弁護士に依頼)と②加害者側の保険会社が行う事前認定の2つの手続きがあります。適正な等級獲得と補償を受けたのであれば必ず被害者請求の手続きをとる必要があります。被害者と利益が対立する加害者側の保険会社に後遺症の申請の手続きを任せるべきできはありません。
⑵ 後遺症に強い弁護士に依頼する必要があること
後遺症に強い弁護士とは、画像分析を踏まえて、適切な証明活動を行って後遺症の申請手続きを行い、適切な等級を獲得する弁護士のことです。
医師も治療において、レントゲンやCT、MRIの画像を確認してから治療方針を進めるのと同様に、後遺障害等級の獲得に向けての作業も画像の分析から始まります。
ムチウチのケースにおいても、レントゲンやMRIの画像を分析した上で、等級を獲得するための方針を定めて対応していく必要があります。
特に、手のしびれ、足のしびれの症状がある方は、12級の獲得も見据えて後遺症の申請に向けて準備していく必要があります。
あきや事務所が、ムチウチで当たり前のように等級を獲得しているのは、始めの段階に画像分析を行い、それを踏まえて、しっかりと証明作業を行っているからです。
したがって、ムチウチでも適正な等級獲得と適正な補償を受けることを望むのであれば画像分析とその内容を踏まえて適切な証明活動を行ってくれる弁護士を探す必要があります。
ムチウチで等級獲得ができるかについては弁護士の力量によって大きく変わりますので、真に後遺症に強い弁護士に依頼するようにしてください。
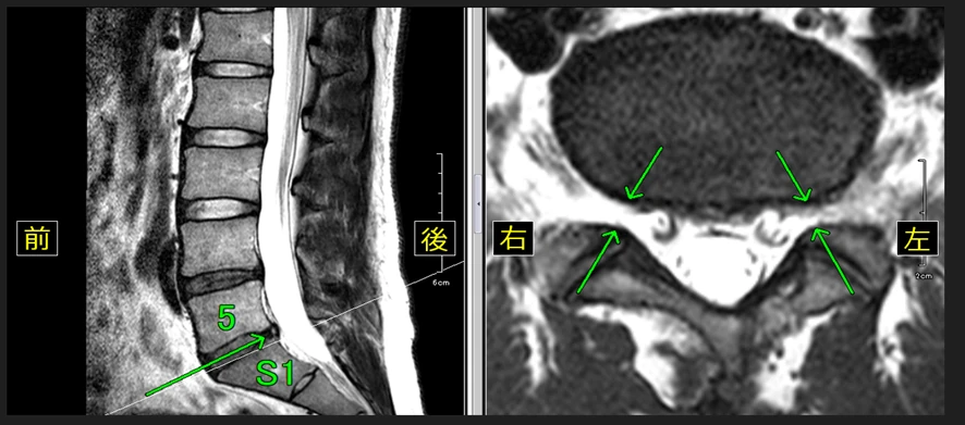
参考までに、頚椎捻挫と腰椎捻挫における14級レベルの画像と12級レベルの画像を示します。
【14級レベルの頚椎のMRI画像】

※頚椎椎間板の軽度の膨隆が認められます。
【12級レベルの頚椎のMRI画像】

※頚椎椎間板の大きな膨隆が認められるとともに右神経根の圧迫が認められます。
【14級レベルの腰椎のMRI画像】

※腰椎椎間板の軽度の膨隆が認められます
【12級レベルの腰椎のMRI画像】

※腰椎椎間板の大きな膨隆が認められるとともに右神経根の圧迫が認められます。
⑶ ムチウチこそ事故直後の早めの相談が必要なこと
最初に画像分析を行って方針を立てて後遺症の獲得に向けて準備していくので、早めの相談が必要なのは他の後遺症と同じですが、実は、もう1点、ムチウチで等級を獲得するためには重要なポイントがあります。
それは病院選びです。
ムチウチで症状が残っている方であれば、当事務所では当たり前のように等級を獲得していますが、骨折のケース以上に早めの相談が必要になります。それは病院選びの段階からしっかりと検討しないといけないからです。医師の中にはムチウチは後遺症ではないと述べたり、症状がまだ残っているのに3ヶ月くらいで治療を終了してしまう医師もいます。ムチウチに理解がない病院に通院した場合に等級を獲得することは極めて困難です。
したがって、ムチウチのケースでは、骨折のケースよりも早い相談、つまり、事故直後からの相談が必要になるのです。
⑷ ムチウチで重症の方は12級の獲得を目標にすべきこと
ムチウチで12級の獲得を見据えているのであれば、後遺症に強い弁護士の中でもさらにトップクラスの弁護士に依頼する必要があります。
ムチウチでは等級の認定を受けたとしても14級であることが一般的です。交通事故に注力している弁護士でさえも12級をとれた実績はほとんどないという話をよくされています。それくらい12級獲得のハードルは高いのです。
しかし、後遺症に強い弁護士の中でもさらにトップクラスの弁護士は12級の認定をしっかり受けています。
あきや事務所では、ムチウチであっても症状の重たい方については、12級を獲得しており、12級獲得について圧倒的な実績があります。
そして、ムチウチで12級を狙えるのは、当たり前ですが症状が相当重たい方です。具体的には、首(頚椎捻挫)であれば、首の強い痛みに加えて手(上肢)のしびれも強くあることです。また、腰(腰椎捻挫)であれば、腰の強い痛みに加えて足(下肢)のしびれが強くあることです。
3 実績
⑴ ムチウチの実績
あきや事務所では、後遺症の申請により、ムチウチの症状で14級を当たり前のように獲得しています。その件数は膨大なので、下記の実績一覧には最新ものは12級のみ掲載し、14級は2019年までに獲得した実績だけを掲載します。